二次元裏@ふたば

画像ファイル名:1773790950597.jpg-(359762 B)
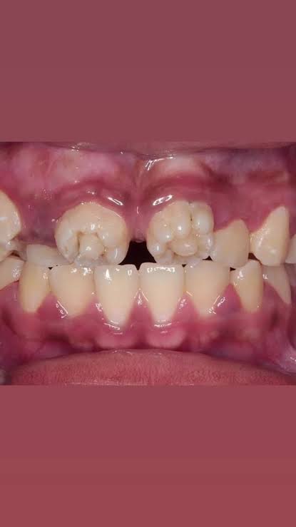
359762 B26/03/18(水)08:42:30No.1411821192+ 11:40頃消えます
梅毒なんてまだあるのか…
このスレは古いので、もうすぐ消えます。
126/03/18(水)08:43:58No.1411821411そうだねx36
まだあるどころか近年めちゃくちゃ増えて猛威をふるってるんじゃなかったっけ…
俺はアホだから知らんけどスレ画にある先天のモノとは違うのかしら
226/03/18(水)08:44:26No.1411821491+
フェラ出来なさそうな歯だな
326/03/18(水)08:45:06No.1411821612そうだねx34
ギザ歯の子って梅毒なんだ…
426/03/18(水)08:45:49No.1411821743そうだねx32
まず先天的にこの形になる事があるのを今知った
ちょっとヘラった人がやる人体改造の一種とばかり
526/03/18(水)08:46:36No.1411821872そうだねx1
アニメのキャラ
626/03/18(水)08:47:36No.1411822030そうだねx3
母体から感染するって事…?
726/03/18(水)08:48:13No.1411822120そうだねx15
じゃあきくり先輩って…まあありえるか
826/03/18(水)08:48:27No.1411822165そうだねx28
鬼滅の刃遊郭編でも上弦の鬼がこんな歯で
意味のある描写やったんやって感心したやつ
926/03/18(水)08:49:09No.1411822280+
>まだあるどころか近年めちゃくちゃ増えて猛威をふるってるんじゃなかったっけ…
>俺はアホだから知らんけどスレ画にある先天のモノとは違うのかしら
ばいしゅんとかで広まってるとかだっけ
1026/03/18(水)08:49:30No.1411822335そうだねx4
まあ確かにこの歯のキャラクターは梅毒持ってそうではある
1126/03/18(水)08:51:23No.1411822624そうだねx7
余計な情報を俺にインプットしやがって
1226/03/18(水)08:51:24No.1411822629そうだねx11
ハッチンソン歯でググったけどこんな綺麗に全部ギザ歯になる?ってなった
1326/03/18(水)08:52:02No.1411822730そうだねx14
>鬼滅の刃遊郭編でも上弦の鬼がこんな歯で
>意味のある描写やったんやって感心したやつ
何ならあいつの不自然に胴体が細い体格もそれだったしな
1426/03/18(水)08:54:23No.1411823088そうだねx1
実際は豚足みたいになるらしいな
1526/03/18(水)08:57:33No.1411823591そうだねx1
トガちゃんは犬歯が発達してるだけだから違う
1626/03/18(水)09:01:24No.1411824184そうだねx7
ナンジャモ氏…
1726/03/18(水)09:01:50No.1411824256+
この歯で噛めるのかな
すり潰すとか出来なさそう
1826/03/18(水)09:04:37No.1411824698そうだねx6
鬼滅の妓夫太郎の歯や顔の斑点や体型は先天的梅毒の特徴そのまんまだからな
1926/03/18(水)09:12:01No.1411825788+
うっかり舌噛んだ時の痛みが尋常じゃなさそう
2026/03/18(水)09:12:34No.1411825874+
>まず先天的にこの形になる事があるのを今知った
>ちょっとヘラった人がやる人体改造の一種とばかり
先天性梅毒なせいでヘラったと考えられる
2126/03/18(水)09:15:40No.1411826380+
炎炎ノ消防隊が最悪になるじゃん
処女懐胎梅毒だよ
2226/03/18(水)09:19:20No.1411826961+
こんな育つまで治療しなかったの?
2326/03/18(水)09:19:57No.1411827060+
すぐ死んだりしないの?
2426/03/18(水)09:26:08No.1411828114+
ドラゴンみたいでかっこいいじゃん
2526/03/18(水)09:26:18No.1411828148そうだねx2
>母体から感染するって事…?
もちろんそうだ
妊娠中に梅毒に感染して子供に伝染るのが先天梅毒
基本的に抗生剤で治せる大人の梅毒とは話が違う
2626/03/18(水)09:27:33No.1411828349そうだねx9
>こんな育つまで治療しなかったの?
母親が梅毒持ってるような個体なんだぞ?
2726/03/18(水)09:31:58No.1411829088+
病気だとボロボロになるイメージだけどこんないい感じの見た目になるのか
2826/03/18(水)09:34:32No.1411829499+
パンクファッションじゃん
2926/03/18(水)09:35:45No.1411829709+
>病気だとボロボロになるイメージだけどこんないい感じの見た目になるのか
そのはずなのでスレ画はなんか違うんじゃねえかなって言われたりしてるね
3026/03/18(水)09:39:45No.1411830342+
鬼滅読み流してたから知らんかった…先天的というか自然になるもんなんだな
3126/03/18(水)09:40:26No.1411830472+
妓夫太郎はもっとボロボロって感じの歯でこんな綺麗にトゲトゲしてる感じではないし…
3226/03/18(水)09:40:57No.1411830551+
梅毒って意外と恐ろしい病気なんだな
3326/03/18(水)09:41:54No.1411830728+
先天的だから生まれてからもう梅毒持ってるのか?
エッチできないな
3426/03/18(水)09:42:29No.1411830838+
アンパンやってた同級生がこんな歯になってた
3526/03/18(水)09:47:53No.1411831837そうだねx17
>ギザ歯の子って梅毒なんだ…
先天梅毒だとギザ歯になるが
ギザ歯だからと言って先天梅毒とは限らない
その辺り高校くらいの数学で習わなかったか
3626/03/18(水)09:48:45No.1411832014+
>こんな育つまで治療しなかったの?
症状が出ないんじゃない?
3726/03/18(水)09:50:48No.1411832402+
ガンダム全シリーズ見てる人をオタクと言えたとしても
オタクはガンダム全シリーズ見てると言えるかどうかという事だ
3826/03/18(水)09:53:51No.1411832997+
fu6429572.jpeg
こういうの好き
3926/03/18(水)09:57:33No.1411833668+
過去最多を毎年更新する程度には増えてるよ梅毒
「」たちも気をつけてね
4026/03/18(水)10:05:07No.1411834903+
>fu6429572.jpeg
>こういうの好き
奥歯が前に生える事なんてあるのか…
4126/03/18(水)10:05:41No.1411834988+
魚人やん
4226/03/18(水)10:06:25No.1411835092+
>過去最多を毎年更新する程度には増えてるよ梅毒
>「」たちも気をつけてね
まぁ「」ならほとんど無縁だろう…
4326/03/18(水)10:07:16No.1411835226そうだねx7
>>過去最多を毎年更新する程度には増えてるよ梅毒
>>「」たちも気をつけてね
>まぁ「」ならほとんど無縁だろう…
いやあ表立って話題にしないだけで風の戦士はいっぱいいると思うぞ
4426/03/18(水)10:13:02No.1411836130+
風の戦士じゃなくとも誰彼かまわずとっかえひっかえやりまくりが現代の恋愛スタイルだからまあしゃーない
4526/03/18(水)10:20:36No.1411837247そうだねx5
普通の彼女や家庭がなくてマチアプやら風俗やらで不特定多数とヤッてると危険だからな性病
むしろ「」は危険
4626/03/18(水)10:22:28No.1411837547そうだねx1
風はまだ梅毒の検査してるからまだいいが立ちんぼとマチアプはマジで検査してないから危ねえ
4726/03/18(水)10:23:08No.1411837627+
>>fu6429572.jpeg
>>こういうの好き
>奥歯が前に生える事なんてあるのか…
先天性梅毒の桑実状臼歯がなんかあって前歯部に生えたパターンかな
4826/03/18(水)10:23:42No.1411837715そうだねx2
「」は風俗すら行けないガチで女を憎んでる奴多いから大丈夫だよ
4926/03/18(水)10:26:38No.1411838119+
高いからな検査
店の補助とかも無いパパ活女が自発的にやるわけない
5026/03/18(水)10:26:51No.1411838154+
この歯じゃ飯食えなくない?かわうそ…
5126/03/18(水)10:27:33No.1411838258+
ゲロ吐いてギザ歯になる子もいるしまあ
5226/03/18(水)10:28:07No.1411838338+
>高いからな検査
>店の補助とかも無いパパ活女が自発的にやるわけない
しかしねぇ梅毒とHIV検査は無料で受けられるわけだから
パパ活連中は無料でも受けてないだろうけど
5326/03/18(水)10:29:29No.1411838535+
>そのはずなのでスレ画はなんか違うんじゃねえかなって言われたりしてるね
円錐歯は外胚葉性異形成症にも見られるからはっきりとしない
こういう歯の形態異常に関する問題は国試終わったばっかの歯学部生が一番知ってると思う
5426/03/18(水)10:29:49No.1411838573+
そもそも万が一検査して性病だとわかっても実害なけりゃ治療なんかせずにパパ活するから意味ないYO
5526/03/18(水)10:30:12No.1411838626+
肉蝮じゃん
5626/03/18(水)10:31:08No.1411838771+
胎盤通して感染するから怖い
5726/03/18(水)10:35:07No.1411839339+
>高いからな検査
>店の補助とかも無いパパ活女が自発的にやるわけない
自治体で無料でやってるでしょ
5826/03/18(水)10:35:58No.1411839455+
実害ないの?
5926/03/18(水)10:36:04No.1411839471そうだねx1
梅毒かかる大人は自業自得だけど子供は本当にかわうそ…
6026/03/18(水)10:42:15No.1411840406そうだねx3
昨日のスレでハッチンソンも梅毒も関係ないってバラされてたのにまた建てたの?
6126/03/18(水)10:59:29No.1411843324+
ハッチンソン歯でググったらちゃんと関係あるの出てくるじゃん
ハッチンソンだけでググったらサッカー選手のハッチンソン出てくるけど
6226/03/18(水)11:03:09No.1411843946+
川崎はめっちゃ増えてるらしいからかwebで啓発の広告出してたりするな
6326/03/18(水)11:03:37No.1411844024+
書き込みをした人によって削除されました
6426/03/18(水)11:04:08No.1411844118+
>>実害ないの?
> 感染後3年から10年以降の状態。皮膚や筋肉、骨、臓器などにゴムのような腫瘍(ゴム腫)が発生する。ゴム腫は非特異的な肉芽腫性病変で周囲の組織の破壊を伴う。
>また冠動脈狭窄や大動脈瘤、大動脈弁逆流症をはじめとする心血管梅毒、中枢神経系を侵されることにより麻痺性認知症や脊髄瘻(せきずいろう)を起こし(神経梅毒、脳梅毒)、死に至る。
6526/03/18(水)11:16:15No.1411846320+
四畳半神話大系でこんなやついた
6626/03/18(水)11:24:43No.1411847932+
ウシジマくんで見た気がするこんな歯
6726/03/18(水)11:27:55No.1411848704+
梅春
6826/03/18(水)11:29:51No.1411849168+
こわ…
肉体がぶっ壊れてバグっちゃってる感凄い
6926/03/18(水)11:34:43No.1411850247+
税金で買った本の子って…


fu6429572.jpeg 1773790950597.jpg